Blood Test Results For Pernicious Anemia . Signs and symptoms of pernicious anemia are indicative of a vitamin b12 deficiency and can include paleness of the skin and mucous membranes; For example, low hemoglobin —the protein that. Pernicious anemia causes fatigue, weakness,. Blood tests and procedures can help diagnose pernicious anemia and find out what's causing it. Tests to determine patient’s b12 status. There are two main problems with the current test used to ascertain how much b12. Complete blood cell count (cbc) peripheral blood smear. In someone with pernicious anemia, these tests can show a reduced number of functioning red blood cells in the body. Pernicious anemia is when the body cannot absorb enough vitamin b12 in the small intestine, causing a drop in red blood cells. The workup for pernicious anemia may include the following: Pernicious anemia is a relatively rare autoimmune disorder that causes diminishment in dietary vitamin b12 absorption, resulting in b12 deficiency and subsequent.
from steptohealth.com
Pernicious anemia causes fatigue, weakness,. Pernicious anemia is when the body cannot absorb enough vitamin b12 in the small intestine, causing a drop in red blood cells. Signs and symptoms of pernicious anemia are indicative of a vitamin b12 deficiency and can include paleness of the skin and mucous membranes; Pernicious anemia is a relatively rare autoimmune disorder that causes diminishment in dietary vitamin b12 absorption, resulting in b12 deficiency and subsequent. For example, low hemoglobin —the protein that. In someone with pernicious anemia, these tests can show a reduced number of functioning red blood cells in the body. There are two main problems with the current test used to ascertain how much b12. The workup for pernicious anemia may include the following: Blood tests and procedures can help diagnose pernicious anemia and find out what's causing it. Tests to determine patient’s b12 status.
How to Know if You're Anemic Step To Health Anemia
Blood Test Results For Pernicious Anemia The workup for pernicious anemia may include the following: For example, low hemoglobin —the protein that. Signs and symptoms of pernicious anemia are indicative of a vitamin b12 deficiency and can include paleness of the skin and mucous membranes; Complete blood cell count (cbc) peripheral blood smear. The workup for pernicious anemia may include the following: Pernicious anemia is a relatively rare autoimmune disorder that causes diminishment in dietary vitamin b12 absorption, resulting in b12 deficiency and subsequent. Blood tests and procedures can help diagnose pernicious anemia and find out what's causing it. Pernicious anemia is when the body cannot absorb enough vitamin b12 in the small intestine, causing a drop in red blood cells. There are two main problems with the current test used to ascertain how much b12. Pernicious anemia causes fatigue, weakness,. Tests to determine patient’s b12 status. In someone with pernicious anemia, these tests can show a reduced number of functioning red blood cells in the body.
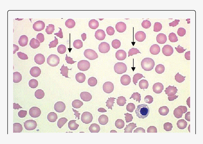
From perniciousanemia.org
Pernicious Anemia Diagnosis How to Test? • PA Relief Blood Test Results For Pernicious Anemia Pernicious anemia is when the body cannot absorb enough vitamin b12 in the small intestine, causing a drop in red blood cells. The workup for pernicious anemia may include the following: In someone with pernicious anemia, these tests can show a reduced number of functioning red blood cells in the body. Tests to determine patient’s b12 status. Pernicious anemia causes. Blood Test Results For Pernicious Anemia.
From deaeexamplesaresume.blogspot.com
Example Resume Example Cbc With Anemia Blood Test Results For Pernicious Anemia Complete blood cell count (cbc) peripheral blood smear. Pernicious anemia is when the body cannot absorb enough vitamin b12 in the small intestine, causing a drop in red blood cells. Signs and symptoms of pernicious anemia are indicative of a vitamin b12 deficiency and can include paleness of the skin and mucous membranes; The workup for pernicious anemia may include. Blood Test Results For Pernicious Anemia.
From mungfali.com
Differentiating Anemias Chart Blood Test Results For Pernicious Anemia The workup for pernicious anemia may include the following: For example, low hemoglobin —the protein that. Pernicious anemia is when the body cannot absorb enough vitamin b12 in the small intestine, causing a drop in red blood cells. Blood tests and procedures can help diagnose pernicious anemia and find out what's causing it. Complete blood cell count (cbc) peripheral blood. Blood Test Results For Pernicious Anemia.
From steptohealth.com
How to Know if You're Anemic Step To Health Anemia Blood Test Results For Pernicious Anemia The workup for pernicious anemia may include the following: There are two main problems with the current test used to ascertain how much b12. Blood tests and procedures can help diagnose pernicious anemia and find out what's causing it. For example, low hemoglobin —the protein that. Signs and symptoms of pernicious anemia are indicative of a vitamin b12 deficiency and. Blood Test Results For Pernicious Anemia.
From www.nclexquiz.com
Laboratory Values in Microcytic Anemias Cheat Sheet NCLEX Quiz Blood Test Results For Pernicious Anemia Complete blood cell count (cbc) peripheral blood smear. There are two main problems with the current test used to ascertain how much b12. Blood tests and procedures can help diagnose pernicious anemia and find out what's causing it. Pernicious anemia causes fatigue, weakness,. For example, low hemoglobin —the protein that. Pernicious anemia is a relatively rare autoimmune disorder that causes. Blood Test Results For Pernicious Anemia.
From www.nicepng.com
Download Peripheral Blood Smear Of A Patient With Microangiopathic Blood Test Results For Pernicious Anemia Tests to determine patient’s b12 status. Blood tests and procedures can help diagnose pernicious anemia and find out what's causing it. The workup for pernicious anemia may include the following: Pernicious anemia causes fatigue, weakness,. Complete blood cell count (cbc) peripheral blood smear. Pernicious anemia is a relatively rare autoimmune disorder that causes diminishment in dietary vitamin b12 absorption, resulting. Blood Test Results For Pernicious Anemia.
From www.mdedge.com
Diagnosing and Classifying Anemia in Adult Primary Care Clinician Reviews Blood Test Results For Pernicious Anemia Pernicious anemia is when the body cannot absorb enough vitamin b12 in the small intestine, causing a drop in red blood cells. Blood tests and procedures can help diagnose pernicious anemia and find out what's causing it. Pernicious anemia is a relatively rare autoimmune disorder that causes diminishment in dietary vitamin b12 absorption, resulting in b12 deficiency and subsequent. There. Blood Test Results For Pernicious Anemia.
From horaciomgrissomxo.blob.core.windows.net
Blood Test Results For Pernicious Anemia Blood Test Results For Pernicious Anemia Blood tests and procedures can help diagnose pernicious anemia and find out what's causing it. Pernicious anemia is a relatively rare autoimmune disorder that causes diminishment in dietary vitamin b12 absorption, resulting in b12 deficiency and subsequent. Pernicious anemia is when the body cannot absorb enough vitamin b12 in the small intestine, causing a drop in red blood cells. In. Blood Test Results For Pernicious Anemia.
From www.dreamstime.com
Red Blood Cells in Various Anemias Stock Vector Illustration of loss Blood Test Results For Pernicious Anemia Pernicious anemia causes fatigue, weakness,. There are two main problems with the current test used to ascertain how much b12. Tests to determine patient’s b12 status. For example, low hemoglobin —the protein that. Pernicious anemia is a relatively rare autoimmune disorder that causes diminishment in dietary vitamin b12 absorption, resulting in b12 deficiency and subsequent. In someone with pernicious anemia,. Blood Test Results For Pernicious Anemia.
From www.rupahealth.com
Top Lab Test to Run on Your Iron Deficiency Anemia Patients Blood Test Results For Pernicious Anemia Tests to determine patient’s b12 status. Pernicious anemia is when the body cannot absorb enough vitamin b12 in the small intestine, causing a drop in red blood cells. The workup for pernicious anemia may include the following: There are two main problems with the current test used to ascertain how much b12. Blood tests and procedures can help diagnose pernicious. Blood Test Results For Pernicious Anemia.
From horaciomgrissomxo.blob.core.windows.net
Blood Test Results For Pernicious Anemia Blood Test Results For Pernicious Anemia For example, low hemoglobin —the protein that. Pernicious anemia is when the body cannot absorb enough vitamin b12 in the small intestine, causing a drop in red blood cells. Pernicious anemia causes fatigue, weakness,. Signs and symptoms of pernicious anemia are indicative of a vitamin b12 deficiency and can include paleness of the skin and mucous membranes; The workup for. Blood Test Results For Pernicious Anemia.
From healthjade.net
MCH Blood Test Normal Range, Low and High MCH Blood Test Results For Pernicious Anemia Pernicious anemia is a relatively rare autoimmune disorder that causes diminishment in dietary vitamin b12 absorption, resulting in b12 deficiency and subsequent. There are two main problems with the current test used to ascertain how much b12. Pernicious anemia is when the body cannot absorb enough vitamin b12 in the small intestine, causing a drop in red blood cells. In. Blood Test Results For Pernicious Anemia.
From labpedia.net
Anemia classification, diagnosis, and routine workup Blood Test Results For Pernicious Anemia In someone with pernicious anemia, these tests can show a reduced number of functioning red blood cells in the body. Pernicious anemia is a relatively rare autoimmune disorder that causes diminishment in dietary vitamin b12 absorption, resulting in b12 deficiency and subsequent. Tests to determine patient’s b12 status. There are two main problems with the current test used to ascertain. Blood Test Results For Pernicious Anemia.
From facty.com
What is Pernicious Anemia? Facty Health Blood Test Results For Pernicious Anemia Signs and symptoms of pernicious anemia are indicative of a vitamin b12 deficiency and can include paleness of the skin and mucous membranes; Pernicious anemia causes fatigue, weakness,. There are two main problems with the current test used to ascertain how much b12. For example, low hemoglobin —the protein that. Complete blood cell count (cbc) peripheral blood smear. The workup. Blood Test Results For Pernicious Anemia.
From www.youtube.com
Anemia Lesson 4 Clues from the blood smear YouTube Blood Test Results For Pernicious Anemia Signs and symptoms of pernicious anemia are indicative of a vitamin b12 deficiency and can include paleness of the skin and mucous membranes; Tests to determine patient’s b12 status. Pernicious anemia is when the body cannot absorb enough vitamin b12 in the small intestine, causing a drop in red blood cells. Complete blood cell count (cbc) peripheral blood smear. There. Blood Test Results For Pernicious Anemia.
From www.animalia-life.club
Megaloblastic Anemia Peripheral Smear Blood Test Results For Pernicious Anemia The workup for pernicious anemia may include the following: There are two main problems with the current test used to ascertain how much b12. Pernicious anemia is a relatively rare autoimmune disorder that causes diminishment in dietary vitamin b12 absorption, resulting in b12 deficiency and subsequent. Pernicious anemia causes fatigue, weakness,. Signs and symptoms of pernicious anemia are indicative of. Blood Test Results For Pernicious Anemia.
From healthproadvice.com
Anemia Types, Symptoms and Treatment HealthProAdvice Blood Test Results For Pernicious Anemia The workup for pernicious anemia may include the following: There are two main problems with the current test used to ascertain how much b12. Pernicious anemia causes fatigue, weakness,. Signs and symptoms of pernicious anemia are indicative of a vitamin b12 deficiency and can include paleness of the skin and mucous membranes; In someone with pernicious anemia, these tests can. Blood Test Results For Pernicious Anemia.
From www.osmosis.org
Pernicious anemia Year of the Zebra Video & Anatomy Osmosis Blood Test Results For Pernicious Anemia For example, low hemoglobin —the protein that. Pernicious anemia is when the body cannot absorb enough vitamin b12 in the small intestine, causing a drop in red blood cells. Pernicious anemia causes fatigue, weakness,. Signs and symptoms of pernicious anemia are indicative of a vitamin b12 deficiency and can include paleness of the skin and mucous membranes; Pernicious anemia is. Blood Test Results For Pernicious Anemia.